Spotting CentreHistology Lessons
Histology · 16 Lessons · 16 VideosHistologyLesson Library
Detailed theory, points of identification, video lessons, and exam-ready notes for all 16 histology spotting slides.
16
Lessons
65
ID Points
16
Videos
Free
Access
Detailed Theory Points of Identification Video Lessons Referenced Notes

🫁
🫁
Video#1
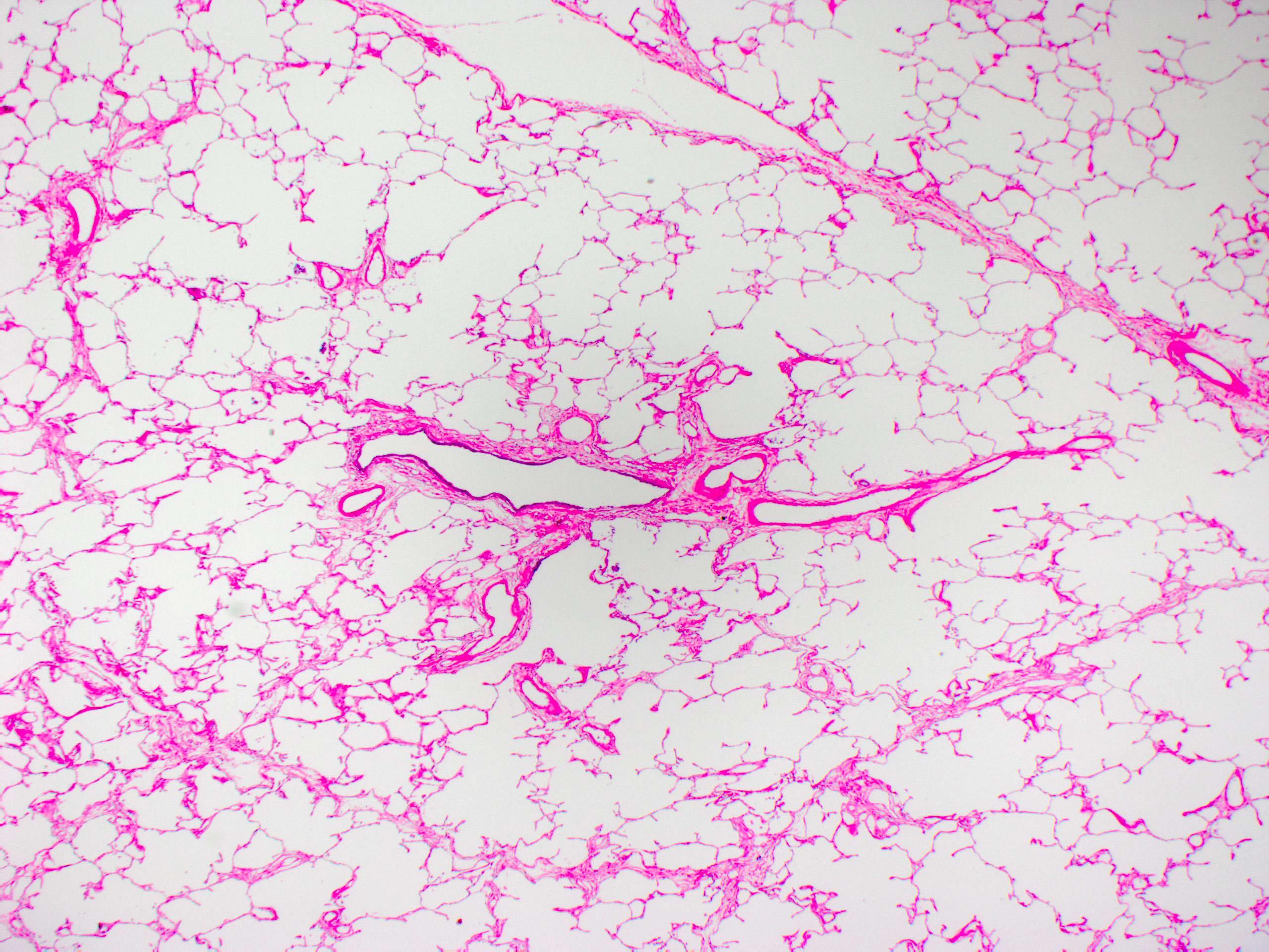
Lungs
1Recognizable alveolar structure
2Visible bronchial passage
3Distinct lung lobes
+1 more points
15 min
Video
Study

🫀
🫀
Video#2
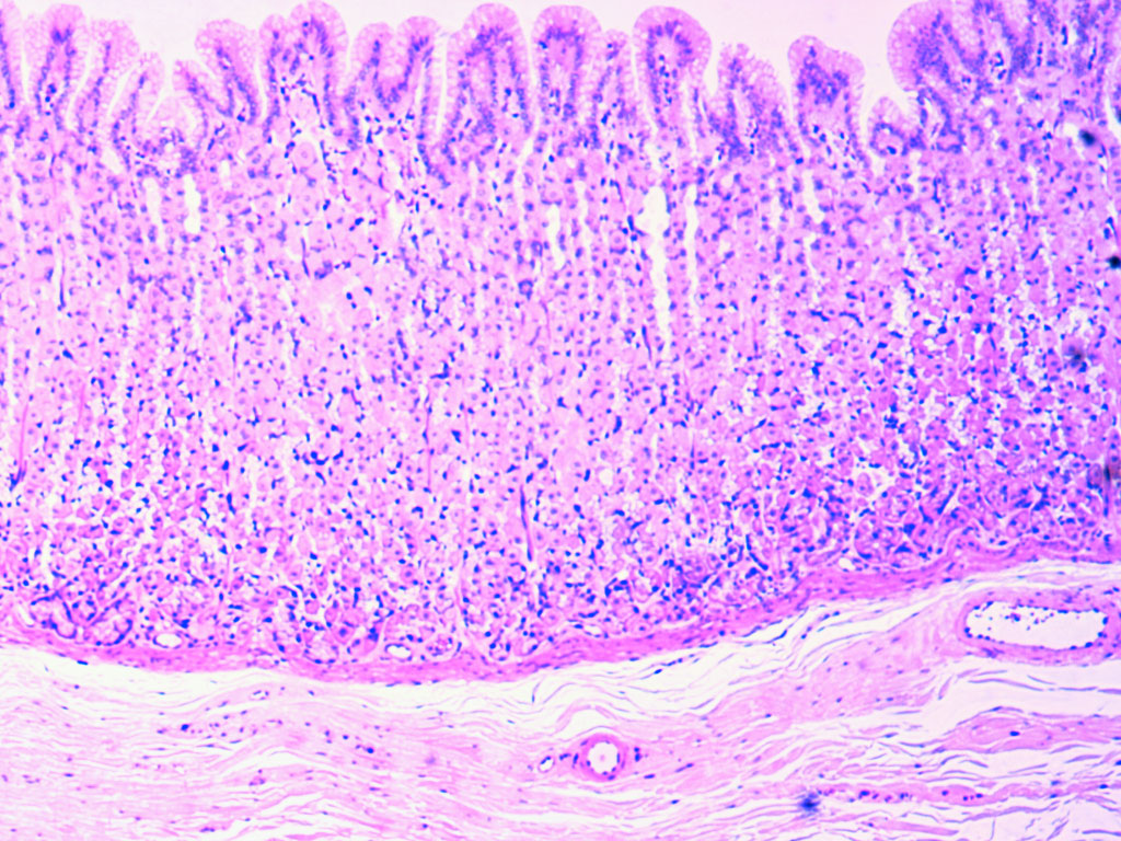
Stomach
1Gastric pits
2Gastric glands
3Mucosal lining
+1 more points
14 min
Video
Study

🫘
🫘
Video#3
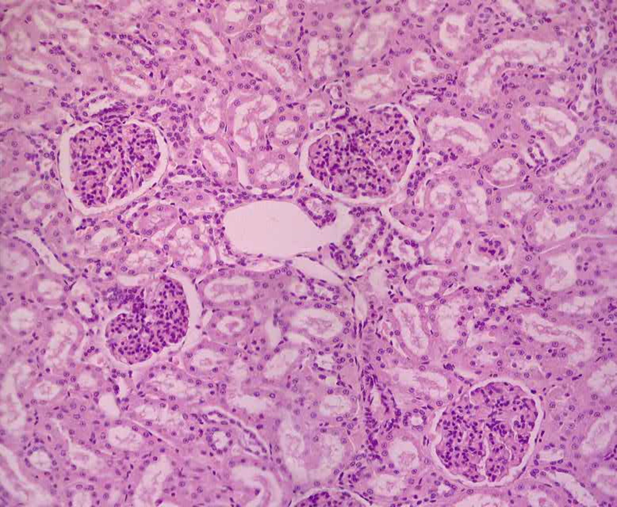
Kidney
1Renal tubules
2Glomeruli
3Renal corpuscles
+1 more points
16 min
Video
Study

🌀
🌀
Video#4
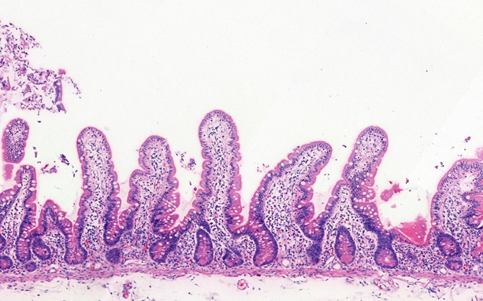
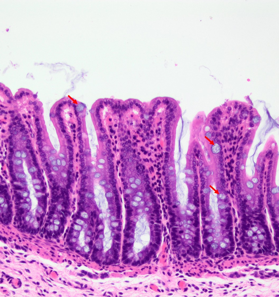
Small Intestine
1Villi on mucosal surface
2Crypts of Lieberkühn
3Intestinal glands
+1 more points
14 min
Video
Study

🧫
🧫
Video#5
Large Intestine
1Numerous goblet cells
2Taeniae coli
3Lymphoid tissue in mucosa
+1 more points
12 min
Video
Study

🌿
🌿
Video#6
Appendix
1Abundant lymphoid tissue
2Mucosal folds
3Epithelial lining
+1 more points
11 min
Video
Study

〰️
〰️
Video#7
Smooth Muscle
1Spindle-shaped cells
2Central nuclei
3Dense bodies / plaques
+1 more points
12 min
Video
Study

💪
💪
Video#8
Skeletal Muscle
1Cross striations
2Multinucleated fibres
3Peripheral nuclei
+1 more points
13 min
Video
Study

❤️
❤️
Video#9
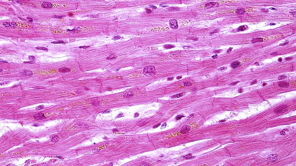
Cardiac Muscle
1Striations
2Central nuclei
3Branched fibres
+1 more points
13 min
Video
Study

🧴
🧴
Video#10
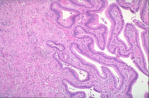
Gall Bladder
1Mucosal folds
2Simple columnar epithelium (no goblet cells)
3Thin muscularis
+1 more points
12 min
Video
Study

🩸
🩸
Video#11
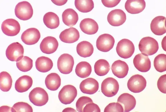
Red Blood Cells
1Biconcave disc shape
2Red colour (haemoglobin)
3Flexible / deformable
+1 more points
13 min
Video
Study

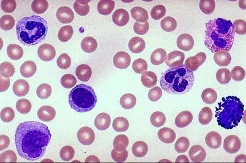
⚪
⚪
Video#12
White Blood Cells
1Neutrophils: multilobed nucleus
2Eosinophils: bilobed nucleus
3Basophils: large purple-black granules
+2 more points
14 min
Video
Study

🧱
🧱
Video#13
Simple Epithelium
1Single layer on basement membrane
2Squamous / cuboidal / columnar types
3Pseudostratified variant
+1 more points
14 min
Video
Study

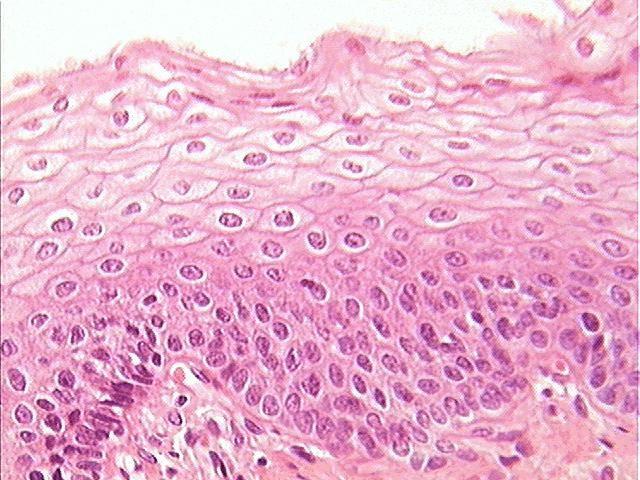
🧱
🧱
Video#14
Stratified Epithelium
1Multiple cell layers
2Squamous / cuboidal / columnar types
3Transitional (urothelium)
+1 more points
14 min
Video
Study

🧶
🧶
Video#15
Connective Tissue & ECM
1Fibroblasts, mast cells, macrophages
2Collagen (types I–IV)
3Elastic fibres
+1 more points
15 min
Video
Study

🔬
🔬
Video#16
Slide Preparation & Staining
1Tissue processing steps
2H&E staining
3Special stains (PAS, trichrome, etc.)
+1 more points
16 min
Video
Study
Ready to test yourself?
Put your identification skills to the test — 16 slides, 20 minutes.